Supracondylar fractures are among the most common elbow injuries, especially in children, and require prompt and accurate orthopedic care. Patients searching for the Best Supracondylar Fracture Treatment in Udyog Vihar often look for precise diagnosis, timely intervention, and structured rehabilitation. Under the care of Dr. Guruditta Khurana, supracondylar fracture treatment is planned with a focus on bone healing, joint function, and long-term recovery.
Join our online community! Follow us on: https://www.youtube.com/@RoboticOrthodoc_Guruditta
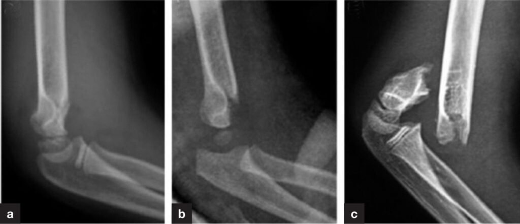
Understanding Supracondylar Fractures and Their Impact
A supracondylar fracture occurs just above the elbow joint in the humerus bone. This type of injury can affect nerve and blood vessel function if not managed correctly. At centers offering the Best Supracondylar Fracture Treatment in Udyog Vihar, accurate assessment is the first step toward successful recovery.
Clinical examination and imaging studies help determine fracture type, displacement, and severity.

Importance of Early Diagnosis in Supracondylar Fractures
Timely diagnosis plays a crucial role in treatment outcomes. The Best Supracondylar Fracture Treatment in Udyog Vihar involves early evaluation to minimize swelling and reduce the risk of complications.
Early intervention supports better alignment, faster healing, and improved joint mobility after recovery.
Non-Surgical Management for Stable Fractures
Some supracondylar fractures are stable and do not require surgery. The Best Supracondylar Fracture Treatment in Udyog Vihar includes non-surgical options such as immobilization using casts or splints.
This approach is suitable when the bone alignment is acceptable and the joint remains stable, allowing natural healing under close supervision.

Closed Reduction Techniques for Displaced Fractures
When fracture fragments are displaced, closed reduction may be required. Under the Best Supracondylar Fracture Treatment in Udyog Vihar, careful manipulation is performed to realign the bone without making surgical incisions.
This method aims to restore proper alignment while minimizing trauma to surrounding tissues.
Surgical Treatment for Complex Supracondylar Fractures
Severely displaced or unstable fractures often require surgical intervention. The Best Supracondylar Fracture Treatment in Udyog Vihar includes advanced surgical techniques that stabilize the fracture using pins or fixation devices.
Surgical treatment focuses on precise alignment, stable fixation, and protection of nerves and blood vessels.

Post-Treatment Immobilization and Monitoring
After fracture alignment, immobilization is essential for healing. This includes structured immobilization followed by regular monitoring.
Follow-up visits help assess bone healing and detect any early signs of complications.
Rehabilitation and Physiotherapy for Elbow Recovery
Rehabilitation is a critical part of recovery from supracondylar fractures. It incorporates guided physiotherapy to restore elbow strength and mobility.
Gradual exercises help improve range of motion while protecting the healing bone.
Pediatric Care Considerations for Supracondylar Fractures
Children are more prone to supracondylar fractures due to falls. The Best Supracondylar Fracture Treatment in Udyog Vihar takes special care in pediatric cases to support proper bone growth and development.
Age-appropriate treatment strategies reduce the risk of long-term deformity or stiffness.
Preventing Complications Through Expert Care
Complications such as stiffness, nerve injury, or malunion can occur without proper management. The Best Supracondylar Fracture Treatment in Udyog Vihar focuses on prevention through precise treatment and close follow-up.
Expert orthopedic care helps ensure safe healing and functional recovery.
Long-Term Outcomes and Functional Restoration
Successful treatment aims for full restoration of elbow function. The Best Supracondylar Fracture Treatment in Udyog Vihar prioritizes long-term joint stability and strength.
With appropriate treatment and rehabilitation, most patients regain normal activities without lasting limitations.
Conclusion
Supracondylar fractures require timely and carefully planned orthopedic treatment to ensure proper healing and functional recovery. Under the guidance of Dr. Guruditta Khurana, patients receive structured care that addresses diagnosis, treatment, and rehabilitation. By offering non-surgical management, surgical intervention, and comprehensive follow-up, Dr. Khurana provides access to the Best Supracondylar Fracture Treatment in Udyog Vihar.
